Fr, 11:51 Uhr
28.11.2014
Mehr als ein Ersatz
Als Ersatzbeschaffung für ein anderes digitales Röntgengerät ist im radiologischen Institut des Nordhäuser Südharz Klinikums ein neues direkt digitales Röntgengerät der Firma Philips in Betrieb genommen worden. Und das kann einiges mehr...
Neben der bekannten großen Palette verschiedenster Röntgenuntersuchungen für Kinder, Jugendliche und Erwachsene, sind damit jetzt weitere Anwendungsbereiche und verbesserte radiologisch-diagnostische Angebote am Südharz Klinikum und dem angeschlossenen MVZ verbunden.
So können jetzt mittels Spezialhalterungen Röntgenaufnahmen der jüngsten Neugeborenen und Säuglinge durchgeführt werden, beispielsweise bei dem Verdacht auf Anpassungsstörungen oder Fehlbildungen”, erläutert Chefarzt Prof. Dr. med. habil. Ansgar Malich.
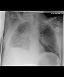
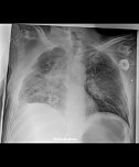
Außerdem ermöglicht die neue Röntgeneinheit die Anfertigung von Ganzbein- und Ganzwirbelsäulenaufnahmen direkt digital mit nachfolgender elektronischer fehlerfreier und versatzfreier Zusammenfügung der Bilddatensätze. Diese Ganzbein- und Ganzwirbelsäulenaufnahmen sind für die Planung endoprothetischer Versorgungen wesentlich. Darüber hinaus sind sie von großem Nutzen in der Therapieabschätzung bei Skoliose oder anderer Fehlstellungen der Wirbelsäule. Auch bezüglich der Bildqualität von im Liegen anzufertigenden Aufnahmen bietet das System wesentliche Vorteile. Häufig werden heutzutage Liegendröntgenaufnahmen mit Verwendung eines Rasters durchgeführt, um die sonst bildqualitativ beeinträchtigende Streustrahlung zu verringern. Die Röntgendosis steigt aber durch diese Rastertechnologie. Alternativ muss man die sonst schlechtere Bildqualität bei Liegendaufnahmen in Kauf nehmen, was die Befundung beeinflussen kann. Nach unserer Kenntnis erstmalig in Thüringen verfügbar, ist nun für diese schwerkranken Patienten (die deshalb nur im Liegen geröntgt werden können) das sogenannte Sky Flow Processing”, erklärt der Chefarzt.
Hierbei wird ein Algorithmus zur Nachverarbeitung der Bilddatensätze angewandt, der streustrahlungsbedingte Effekte des Röntgenbildes automatisch erkennt und durch einen zusätzlichen nachverarbeitenden Filter korrigiert. Die Folge ist eine deutlich verbesserte Bild- und damit verbunden Befundungsqualität, sodass nach bisherigen Studien die Bildqualität ohne Raster mit Sky Slow Technologie der Bildqualität mit Raster entspricht. Auch hierfür ist das radiologische Institut des Südharz Klinikums wiederum Referenzzentrum. Erste interessierte Radiologen haben bereits einen Besuchstermin am Südharz Klinikum vereinbart, um diese neue Nachverarbeitungsoption in praktischer Anwendung zu sehen.
Das Team der Radiologie freut sich, mit dem Erwerb des Röntgensystems ein verbessertes und stabileres diagnostisches Angebot zu besitzen, um so auch bei starker Frequentierung, Wartungen oder Gerätedefekten der übrigen Röntgensysteme bisher mitunter eingetretene Warte- und Ausfallszeiten für die Patienten deutlich reduzieren oder ganz abschaffen zu können.
Autor: nnzNeben der bekannten großen Palette verschiedenster Röntgenuntersuchungen für Kinder, Jugendliche und Erwachsene, sind damit jetzt weitere Anwendungsbereiche und verbesserte radiologisch-diagnostische Angebote am Südharz Klinikum und dem angeschlossenen MVZ verbunden.
So können jetzt mittels Spezialhalterungen Röntgenaufnahmen der jüngsten Neugeborenen und Säuglinge durchgeführt werden, beispielsweise bei dem Verdacht auf Anpassungsstörungen oder Fehlbildungen”, erläutert Chefarzt Prof. Dr. med. habil. Ansgar Malich.
Außerdem ermöglicht die neue Röntgeneinheit die Anfertigung von Ganzbein- und Ganzwirbelsäulenaufnahmen direkt digital mit nachfolgender elektronischer fehlerfreier und versatzfreier Zusammenfügung der Bilddatensätze. Diese Ganzbein- und Ganzwirbelsäulenaufnahmen sind für die Planung endoprothetischer Versorgungen wesentlich. Darüber hinaus sind sie von großem Nutzen in der Therapieabschätzung bei Skoliose oder anderer Fehlstellungen der Wirbelsäule. Auch bezüglich der Bildqualität von im Liegen anzufertigenden Aufnahmen bietet das System wesentliche Vorteile. Häufig werden heutzutage Liegendröntgenaufnahmen mit Verwendung eines Rasters durchgeführt, um die sonst bildqualitativ beeinträchtigende Streustrahlung zu verringern. Die Röntgendosis steigt aber durch diese Rastertechnologie. Alternativ muss man die sonst schlechtere Bildqualität bei Liegendaufnahmen in Kauf nehmen, was die Befundung beeinflussen kann. Nach unserer Kenntnis erstmalig in Thüringen verfügbar, ist nun für diese schwerkranken Patienten (die deshalb nur im Liegen geröntgt werden können) das sogenannte Sky Flow Processing”, erklärt der Chefarzt.
Hierbei wird ein Algorithmus zur Nachverarbeitung der Bilddatensätze angewandt, der streustrahlungsbedingte Effekte des Röntgenbildes automatisch erkennt und durch einen zusätzlichen nachverarbeitenden Filter korrigiert. Die Folge ist eine deutlich verbesserte Bild- und damit verbunden Befundungsqualität, sodass nach bisherigen Studien die Bildqualität ohne Raster mit Sky Slow Technologie der Bildqualität mit Raster entspricht. Auch hierfür ist das radiologische Institut des Südharz Klinikums wiederum Referenzzentrum. Erste interessierte Radiologen haben bereits einen Besuchstermin am Südharz Klinikum vereinbart, um diese neue Nachverarbeitungsoption in praktischer Anwendung zu sehen.
Das Team der Radiologie freut sich, mit dem Erwerb des Röntgensystems ein verbessertes und stabileres diagnostisches Angebot zu besitzen, um so auch bei starker Frequentierung, Wartungen oder Gerätedefekten der übrigen Röntgensysteme bisher mitunter eingetretene Warte- und Ausfallszeiten für die Patienten deutlich reduzieren oder ganz abschaffen zu können.




