Mehr als ein Ersatz
← zurück Bild 1 von 3 weiter →
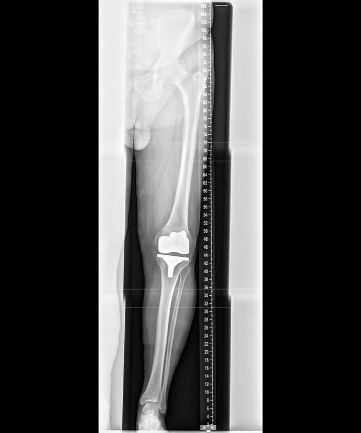
Ganzbeinaufnahme mit dem direkt-digitalen Stitching (Foto: SHK)
Alle Texte, Bilder und Grafiken dieser Web-Site unterliegen dem Urheberrecht. Weiterverbreitung nur mit schriftlicher Genehmigung von nnz-online.de.


