Kleine Ursache – große Wirkung
Dienstag, 05. April 2011, 08:59 Uhr
Auch kleine Gelenke können große Schmerzen bereiten und die Lebensqualität stark beeinträchtigen. Dann suchen die Ärzte der Helios-Klinik Bleicherode gemeinsam mit den Patienten nach Lösungen, die auf ihre Ansprüche und Lebensumstände zugeschnitten sind. Jetzt wurde das bisher kleinste Gelenk in Bleicherode ersetzt...
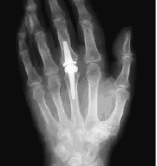
Röntgenaufnahme (Foto: Klinik Bleicherode)
Dass in Bleicherode große Gelenke wie Hüfte und Knie durch Prothesen ersetzt werden – und das in recht großer Anzahl – ist in der Region allgemein bekannt. Aber auch für andere Gelenke gibt es die Möglichkeit des Gelenkersatzes, wenn die nichtoperative Behandlung ausgereizt ist.
So auch bei Herrn E., der sich mit Beschwerden in einem Fingergrundgelenk in der Rheumasprechstunde der Klinik vorstellte. Alle nichtoperativen Möglichkeiten waren bereits ausgeschöpft, sodass für ihn eine andere Behandlung gefunden werden musste: Im März 2011 ersetzten die Bleicheröder Ärzte daher das Fingergrundgelenk durch ein Kunstgelenk aus Pyrocarbon.
Natürlich ist es mit der Operation alleine nicht getan, erklärt Oberärztin Anke Druschke, Expertin für Rheumaorthopädie der Klinik. Um langfristig ein optimales Operationsergebnis und eine gute Funktion der Hand im Alltag zu erzielen, ist vielmehr eine individuelle Nachbehandlung gemeinsam mit Orthopädietechnikern und Ergotherapeuten erforderlich. Auch darum
kümmern wir uns in der Klinik in Bleicherode.
Autor: nnz
Röntgenaufnahme (Foto: Klinik Bleicherode)
Dass in Bleicherode große Gelenke wie Hüfte und Knie durch Prothesen ersetzt werden – und das in recht großer Anzahl – ist in der Region allgemein bekannt. Aber auch für andere Gelenke gibt es die Möglichkeit des Gelenkersatzes, wenn die nichtoperative Behandlung ausgereizt ist. So auch bei Herrn E., der sich mit Beschwerden in einem Fingergrundgelenk in der Rheumasprechstunde der Klinik vorstellte. Alle nichtoperativen Möglichkeiten waren bereits ausgeschöpft, sodass für ihn eine andere Behandlung gefunden werden musste: Im März 2011 ersetzten die Bleicheröder Ärzte daher das Fingergrundgelenk durch ein Kunstgelenk aus Pyrocarbon.
Natürlich ist es mit der Operation alleine nicht getan, erklärt Oberärztin Anke Druschke, Expertin für Rheumaorthopädie der Klinik. Um langfristig ein optimales Operationsergebnis und eine gute Funktion der Hand im Alltag zu erzielen, ist vielmehr eine individuelle Nachbehandlung gemeinsam mit Orthopädietechnikern und Ergotherapeuten erforderlich. Auch darum
kümmern wir uns in der Klinik in Bleicherode.

