nnz-online

Einzigartig in Deutschland

Dienstag, 29. Juli 2014, 11:28 Uhr
Die Klinik für Radioonkologie und Strahlentherapie im Nordhäuser Südharz Klinikum ist in den zurückliegenden Wochen zum wiederholten Mal erfolgreich zertifiziert worden. Das aber ist noch längst nicht alles...


Bei dieser erneuten Zertifizierung wurden sämtliche Arbeitsschritte aller Mitarbeiter genauestens überprüft. Im Verantwortungsbereich von Chefarzt Dr. med. Wolfgang Oehler ist ein solches Audit noch komplexer als in den anderen Bereichen des Klinikums, da hier viele Berufsgruppen zusammenarbeiten, wie zum Beispiel Medizinphysiker und Medizinisch-Technische-Assistentinnen, “ohne die alles nicht funktionieren würde”, wie es der Chefarzt formuliert.

Parallel zur Zertifizierung wurde in der Klinik für Radioonkologie und Strahlentherapie ein kleines Jubiläum gefeiert. In der vergangenen Woche wurde die 1200. Brust-Tumor-Patientin nach einer Methode bestrahlt, die es bundesweit so nur in Nordhausen gibt. Bei der herkömmlichen Bestrahlung der Brust werden in den überwiegenden Fällen auch Teile der Lunge oder die Herzkranzarterien in Mitleidenschaft gezogen.

Die seit dem Jahr 2009 im Südharz Klinikum eingesetzte Bestrahlungstechnik an den Linearbeschleunigern macht es möglich, den Bereich der Bestrahlung nicht nur geradlinig, sondern auch bogenförmig maßgeschneidert zu erfassen.

Stehfeldtechnik (Foto: Südharz Klinikum) Stehfeldtechnik (Foto: Südharz Klinikum)
Normal: Stehfeldtechnik mit 2 Feldern (Standardtechnik); der Hochdosisbereich erfasst nicht nur das Zielvolumen (rote Kontur), sondern auch die umgebenden Risikoorgane (Lunge und Herzkranzgefäße), was zu Nebenwirkungen führen kann

“Wir bestrahlen die Brust nicht standardisiert“, sondern programmieren die Technik so, dass der Dosisverlauf individuell an die jeweilige Brust angepasst wird. Und das ist von Frau zu Frau immer unterschiedlich. Kollateralschäden an benachbarten Organen werden so auf ein Minimum reduziert”, berichtet der leitende Medizinphysiker Dirk Strauß.

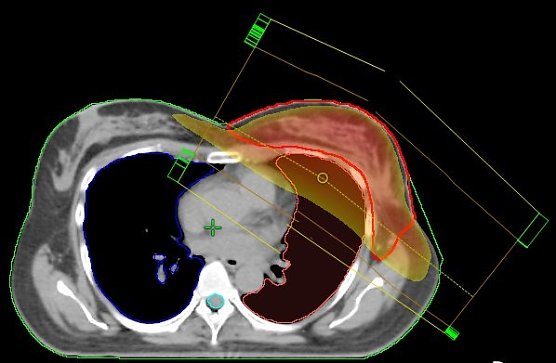
VMAT-Bewegungsbestrahlungstechnik (Foto: Südharz Klinikum) VMAT-Bewegungsbestrahlungstechnik (Foto: Südharz Klinikum)
Einzigartig in Nordhausen: VMAT-Bewegungsbestrahlungstechnik mit 2 Bögen (Nordhäuser Standardtechnik); der Hochdosisbereich erfasst ausschließlich das Zielvolumen und die umgebenden Risikoorgane werden geschont.

Was im Jahr 2009 mit den damals modernen Linearbeschleunigern in Nordhausen eingeführt wurde, das wird mit der Inbetriebnahme der neuesten Generation Ende vorigen und Anfang dieses Jahres konsequent fortgesetzt. Mit der jetzt vorhandenen Technik kann zudem die Bestrahlungszeit für die Tumor-Patienten auf rund 1,5 Minuten reduziert werden. Einmalig in der deutschen Krankenhauslandschaft, berichtet Dr. med. Wolfgang Oehler.
Autor: red

Drucken ...
Alle Texte, Bilder und Grafiken dieser Web-Site unterliegen dem Urherberrechtsschutz.
© 2026 nnz-online.de